
담낭 (GallBladder)

담낭은 우리말로 쓸개라고 불리는 기관으로 성인 주먹의 절반크기 정도 (40~70ml) 의 담즙을 보관하는 주머니이다. 담낭 안에 보관된 담즙을 십이지장으로 배출하기 위하여 담관이 형성되어 있는데, 담관의 끝은 췌장관과 만나서 십이지장으로 연결되어 있다. . 간에서 생긴 담즙을 일시 저장하는 기능과 소화기능을 조절하는 물질을 분비하는 역할을 한다. 식사 후 30분 정도 되면 담낭에 보관된 담즙이 십이지장을 통해 배출되며, 이렇게 배출된 담즙은 소화효소를 돕는 조효소 역할을 하며 주로 지방의 소화와 흡수를 돕는다. 식사 전에는 크기가 증가하고 식사 후 소화가 시작되면 줄어든다
담낭 결석 (Gall bladder)

담낭 결석은 담낭에 들어 있는 돌을 말한다. 담석은 담낭뿐만 아니라 담관이나 간 안의 담도에도 생길 수 있다.


담석은 성분에 따라 일반적으로 콜레스테롤 담석과 색소성 담석으로 크게 나누며, 다시 콜레스테롤 담석은 순수 콜레스테롤석, 복합성, 혼합석으로, 색소성 담석은 갈색석, 흑색석, 칼슘 빌리루빈염 담석으로 나뉜다. 담낭 결석은 담낭 경부, 담낭관 혹은 총담관으로 이동하여 염증이나 폐쇄를 일으켜 담낭염을 일으킨다.
원인
담석은 담낭 내에 있는 담즙의 구성 성분 가운데 콜레스테롤, 담즙산, 인지질 3인자 사이의 용해성 차이에 의해 생성되며 여기에 담낭의 운동성 저하되면 정체되면서 담석이 발생한다. 콜레스테롤이 과포화되거나 간에서 담즙산과 인지질의 분비가 감소하면 콜레스테롤 담석이 생기고 세균 감염으로 색소성 담석이 생기기도 한다.
| 방법 | 종류 | |
| 콜레스테롤 담석 | 콜레스테롤이 과포화 간에서 담즙산과 인지질의 분비가 감소 |
순수 콜레스테롤석, 복합성, 혼합석 |
| 색소성 담석 | 세균 감염 | 갈색석, 흑색석, 칼슘 빌리루빈염 담석 |
증상
환자의 70~80% 이상은 특이한 증상없다. 건강검진에서 무증상 담낭 담석으로 우연히 발견되는 경우가 많다. 무증상 담석 환자에서 증상이 발생할 위험도는 매해 2~2.6% 증가하는 것으로 알려져있고 증상이나 합병증을 유발할 수 있으나 이러한 합병증을 일으키는 발현율이 매우 낮고 담낭암으로의 진행 가능성도 매우 낮다.
증상이 있는 경우 상복부 불쾌감이나 기름기가 많은 음식을 섭취 후 소화불량 같은 비특이적 증상을 보인다. 그러나 결석을 동반한 급성 담낭염이 발생할 경우 우상복부에 아주 심한 통증이 동반되고 수분, 혹은 몇 시간씩 계속 되며 구역, 구토, 황달 등의 증상을 동반한다. 이를 담도 산통이라 하며 극심한 통증에 출산의 고통인 산통에 비유 한다. 명치나 오른쪽 상복부에 발생하는 지속적이고 심한 통증이며 우측 날개뼈나 어깨쪽으로 통증이 퍼져 나갈 수 있다.
진단
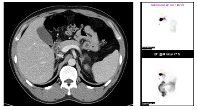
초음파 검사를 통해 담석의 유무와 담석의 크기, 형태를 보며 담낭 결석을 진단하고 담낭벽의 두께와 염증반응을 보면서 담낭염의 진행 정도를 알 수 있다. 복부 CT를 통해서 담낭 주변의 전반적인 상황을 알 수 있으며 간질환이나 총담관결석(담도염)의 유무를 판단하고 해부학적인 이상을 확인하여 수술 적응증을 판단한다.


치료
담낭 담석의 일반적 치료 과정은 증상 및 합병증의 유무, 수술 가능 여부, 담석의 크기 및 방사선 투과성, 담낭 기능 등을 고려하여 수술, 약물치료 또는 경과 관찰 중 치료 방침을 결정하게 된다.

1. 경구 담즙산 용해제 (Ursodeoxycholic acid : UDCA)
크기가 작은 2cm 이하 (이상적인 적응증은 5mm 미만) 의 콜레스테롤 결석, 방사선 투과성 담낭 담석으로 2~3개 이내이면서 담낭 기능은 정상적으로 유지되어야 한다.

콜레스테롤 담석인지 여부를 확인하기 위해 복부 CT를 확인한다. 콜레스테롤 담석인 경우 CT에서 방사선 투과되어 음영이 관촬되지 않는다. 담낭의 정상 기능 확인을 위해 간담도 스캔을 시행한다. 간담도 스캔에서 담낭 기능이 정상이면 경구 담즙산 용해제를 복용한다. 담즙산 용해제 (UDCA)는 6개월~1년 이상 복용해야 하며, 담석의 완전 용해율은 40% 이하이다.

Ursodeoxycholic acid (UDCA)
| 효능 | 콜레스테롤담성증 (방사선 투과성 담석증, 특히 담낭 기능이 정상인 환자의 담석, 담석 수술 후 잔류 또는 재발하는 담석), 담즙성 소화불량 |
| 약리 | 이담제 |
| 용량 | -담석증: 500~750mg/day -담즙성 소화불량: 250~500mg/day |
| 투여법 | 식사와 함께 또는 식후에 복용 |
| 부작용 | 장활동 변화, 석회화 담석, transaminase 변화 |
| 금기 | 급성 담낭염 환자 심한 담도 폐쇄 환자 담즙 정체 환자, 담낭 수축에 이상이 있는 환자 방사성 비투과성 석회화된 담석 환자 빈번한 담석산통이나 담도 감염이 있는 환자 폐쇄성 황달 환자, 간질환 환자, 중증 신장질환 환자 소화성 궤양 환자, 크론병과 같은 대장 및 소장염 환자 임부, 가임부, 수유부, 소아 |
| 주의 | 심한 췌장 질환 환자 담관에 담석이 있는 환자 정맥류 출혈, 간성혼수, 복수 갑자기 간 이식이 필요한 환자 |
2. 수술적 방법
증상이 없는 담낭 결석은 수술이 필요하지 않으나 복통이나 발열, 황달, 소화불량 등의 증상이 동반되어 있는 경우, 반복적인 증상이 있게 되고 담도 결석, 간 내 결석으로 진행하는 경우 또는 용종이 동반된 결석, 도재담낭, 췌담관 합류 이상이 동반된 결석, 크기가 큰 결석 등에서는 적지만 암과의 관련성이 보고된 바가 있어 수술을 시행한다. 색소성 담석의 경우에는 경구 담석 용해제의 효과가 미약하기 때문에 약물로 치료가 되지 않고 반복적인 통증발작을 일으키는 환자의 경우 수술적 치료를 고려한다.
개복 담낭절제술이나 복강경 담낭 절제술을 시행한다. 담낭의 심한 염증, 해부학적인 담도 이상, 담낭암이 의심되거나 이전의 복부수술에 의해 심한 유착이 동반된 경우에는 복강경 담낭 절제술은 불가능하고 개복 담낭 절제술을 시행한다. 복강경 수술을 진행하다가 이전에 받은 수술이나 심한 염증으로 인해 복강 내 유착이 너무 심한 경우에는 수술이 불가능할 뿐만 아니라 장 손상의 위험이 있어 개복 수술로 전환한다. 수술로는 담낭 결석 혹은 담낭 용종이 있는 경우 담석이나 용종만 제거 할 수 없다. 수술 시에 담낭 전체를 제거해야 한다. 급성 담낭염 환자가 전신마취가 불가능할 정도의 전신 상태인 경우 경피적 담낭 배액술을 시행하며 염증을 조절할 수 있느나 근본적인 치료는 아니다.

1) 복강경 담낭 절제술
(1) 수술의 목적과 효과
-담낭 결석에 의한 소화기계 증상의 치료
-증상은 없으나 담낭 결석에 용종이 동반된 경우
-도재담낭, 췌담관 합류이상이 동반된 경우
-결석의 크기가 큰 경우 생길수 있는 담낭암 예방
-1cm 크기 이상의 담낭 용종에 생길 수 있는 담낭암의 예방적 치료
(2) 수술 방법
-전신마취 하에 수술이 진행되며 수술 소요시간은 1~2시간 정도 소요된다.
-배꼽, 명치와 우측 복부에 3~4개의 0.5~1cm 가량의 후투관침 (복강경용 trocar)를 삽입한다
-시야 확보를 위해 복강내에 이산화탄소 가스를 주입하여 공간을 확보한다
-복강경 카메라와 각종 수술 기구로 담낭을 담도와 간에서부터 떼어 낸다
-담낭 동맥을 결찰하여 담낭 절제술을 시행한다.
2) 개복 담낭 절제술
복강경 수술을 진행하다가 이전에 받은 수술이나 심한 염증으로 인해 복강 내 유착이 너무 심한 경우에는 수술이 불가능할 뿐만 아니라 장 손상의 위험이 있어 개복 수술로 전환한다.
담낭절제술의 수술 전·후 간호
1. 수술 전 간호
일반적인 복부 수술 전 간호와 동일하다
- 수술 전날 저녁식사 후 부터 금식한다.
- 수술 부위 피부에 있는 털을 제거한다.
2. 수술 후 간호
일반적인 복부 수술 후 간호와 동일하다.
1) 복강경 수술 (Laparoscopic cholecystectomy)
- 복강경 수술의 경우 회복실에서 바로 L-tube를 제거한다.
- 수술 후 오른쪽 견갑골과 어깨주변의 뻐근한 통증을 호소하는 경우가 대부분인데 이는 수술 시 복강경의 삽입과 시야확보를 위해 이산화탄소를 복강 내로 주입하여 팽창시키면서 횡격막이 자극되어 나타나는 증상으로 2~3일 후 사라진다.
- 복강경 수술의 경우 가스 배출과 상관없이 수술 당일 저녁부터 입만 적셔주는 식이(SOW)를 시작하고 다음날 아침은 연식 (SBD) 점심에는 정상식이 (ND) 로 식이진행을 한다. 환자의 상태에 따라 식이처방이 달라질 수 있다.
- 복강경 수술의 경우 보통 수술 후 2일 뒤에 퇴원하며 실밥제거는 수술 후 7~10일경 외래에서 시행한다.
2) 개복 수술 (Open cholecystectomy)
- 개복 수술의 경우 L-tube는 수술 후 1~2일후에 제거한다.
- 가스 배출이 된 이후에 의사의 처방에 따라 SOW-> SBD -> NRD로 식이진행한다.
- 근래에는 담낭 절제술 후 T-tube를 삽입하는 경우는 거의 드물며 수술 후 T-tube를 가지고 나오는 경우 TTC(T-tube cholangiogram)를 시행하여 이상이 없으면 Clamping 했다가 제거한다.
- T-tube를 Clamping하여 leakage로 인한 발열, 복부통증이 있거나 남은 담석이 있는 경우는 declamping한다.
- T-tube를 가지고 가는 경우에는 clamping하고 퇴원하여 최소 4~6주 후에 도관을 제거한다.
- 수술 후 7~10일후 실밥 제거 한다.