
1.기본원리
인체의 한 단면에 X-선을 투과시킨 후 X-선 흡수율에 의해 다양하게 투과된 조직 단면의 자료를 컴퓨터로 계수화하여 CT 번호로 표시한다. CT 번호가 클수록 희게 작을수록 검은 영상으로 나타난다.

*CT 번호가 클수록 희게, 작을수록 검은 영상으로 나타난다.

2.검사목적
X-선 촬영으로 볼 수 없었던 연부조직의 변화를 볼 수 있다. 평가하고자 하는 장기 및 병변에 최적화된 촬영 방법을 통해 목표로 하는 장기와 병변을 더욱 정확하게 영상화하는데 목적이 있다. 치료 방법 및 범위를 결정하는데 있어 매우 중요한 검사이다. 예를 들어 급성 두부외상, 급성 지주막하 출혈이 의심될 때, 두개골 또는 안면골의 골절, 미세한 뼈의 변화, 병변내의 석회화 발견이 용이하다.
3.검사 적응증

1) 단순 CT(pre contrast = noncontrast)
두부의 기질적 질환에 대해 시행한다.

2) 조영제 주입 CT(Post contrast)
혈관 내로 조영제가 주입되므로 혈관이 희게 조영된다. 수막종과 같이 혈관이 풍부하게 발달된 종양이나, 뇌경색 후 혈류 공급이 증가된 상태에서 조영 증강이 일어난다. 뇌혈관 장벽이 손상된 경우 조영제가 혈관내로부터 뇌의 간질로 스며들어 조영 증강되는 소견을 보인다. 적응증으로는 뇌종양, 뇌염, 뇌농양, 뇌동맥류, 뇌혈관기형, 뇌혈전증, 경련 발작, 두통, 만성 두개강내 출혈을 의심하는 환자 등에서 시행한다.

3) CT cisternography
비 이온성 요오드 조영제를 요추천자로 주입 후 trendelenburg position을 취하여 조영제가 뇌의 뇌수조에 모이게 한 뒤 CT 촬영을 한다. 뇌척수액 비루에 대한 검사는 머리쪽을 아래로 기울인 테이블에 엎드려 조영제가 frontalbas-sal cisterns에 모이게 한 후 종단면을 CT 촬영한다.

4) sellar CT
터어키안과 터어키안 주위 병소 (주로 뇌하수체) 를 진단하기 위해 검사한다.

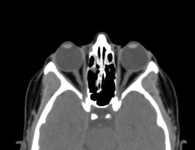
5) Orbit CT
시신경, rectus muscles, lens, 초자체, 정맥, 연조직 등을 본다.

6) perfusion CT
뇌졸중, 뇌허혈 진단 시 이용한다.

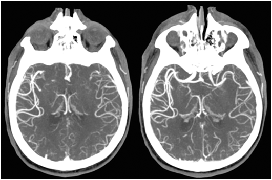
7) CT angiography
aneurysm, stenosis, dissection, AVM 진단을 위해 촬영한다.
4.검사 방법
검사 소요시간은 약 10분~15분 소요된다.
1) 단순 CT
조영제를 투여하지 않는다.
2) 조영제 주입 CT
단순 CT로 잘 나타나지 않는 뇌혈관, 뇌종양의 혈관 등을 나타내기 위해 조영제를 정맥 내 주입 한 후 시행한다.
5.간호중재
1) 조영제 사용 시
(1)검사 전 6시간동안 금식한다.
-요오드가 섞인 조영제는 오심을 유발하므로 검사 중 구토 발생을 예방하기 위함이다.
(2)18G IV with pressure line 필요하다.
-주치의 처방에 따라 hydration용 수액 주입 – 보통 N/S 1L)
-perfusion CT 검사 시 오른쪽 전박에 Line 확보가 필요하다
(4)조영제 알러지 유무 사정한다.
(5)임신 가능성 유무 확인한다.
6)복용하는 약물 확인: Metformin 성분이 포함된 경구혈당강하제
(5)CT 검사 동의서
(6)환자 교육
-검사 중 움직임, 말하기, 한숨쉬기 안된다
-검사 중 부동성을 유지할 수 없는 경우 주치의 처방에 따라 진정제 투여한다.
-머리핀, 가발, 클립 등 영상을 방해할 수 있는 것은 미리 제거한다.
-검사 후 금식 해제, 수분섭취 증가를 통홰 조영제 배출 촉진한다.
-조영제 검사 후 알레르기, 과민성 반응을 사정한다. (두드러기, 가려움증, 호흡곤란 등)
2) 조영제 미사용 시
-금식 외 동일하다.
<사진 및 그림 참고>
CT scan of brain without contrast media.
CT scan of brain without contrast media.
www.istockphoto.com
Figure 1. CT cisternography: it reveals the contrast agent travelling...
Download scientific diagram | CT cisternography: it reveals the contrast agent travelling from the subdural area to the right nasal fossa (red arrow) from publication: 3 years long -term posttraumatic cerebrospinal fluid fistula complicated with recurre
www.researchgate.net
Orbit CT - Google 검색
Radiology Anatomy Images :... radiology-anatomy.blogspot....
www.google.com
https://journals.plos.org/plosone/article/figure?id=10.1371/journal.pone.0137766.g001
Influence of Thin Slice Reconstruction on CT Brain Perfusion Analysis
Objectives Although CT scanners generally allow dynamic acquisition of thin slices (1 mm), thick slice (≥5 mm) reconstruction is commonly used for stroke imaging to reduce data, processing time, and noise level. Thin slice CT perfusion (CTP) reconstructi
journals.plos.org
https://www.ucsfhealth.org/medical-tests/ct-angiography---head-and-neck
CT angiography - head and neck
CT angiography (CTA) combines a CT scan with the injection of dye. CT stands for computed tomography. This technique is able to create pictures blood vessels.
www.ucsfhealth.org
Fig. 1. A) Sagittal non-enhanced CT scan demonstrating a large...
Download scientific diagram | A) Sagittal non-enhanced CT scan demonstrating a large sellar/suprasellar hyper-dense lesion with superior extension compressing the floor of the 3rd ventricle. B) Post-contrast image showing faint enhancement. from publicat
www.researchgate.net