
1.기본원리
1) 여러 기본 대사 물질에 양전자를 방출하는 방사성 동위 원소를 표시해 인체에 투여한 후 양전자와 물질 간 상호작용으로 발생한 소멸 방사선을 체외에서 검출해 3차원으로 나타낼 수 있는 촬영영상을 만든다.
2) PET는 PET scanner, 의료용 cyclotron(양전자 방출 동위원소를 만드는 장치), 방사성 의약품 자동 생성 장치, 컴퓨터 시스템으로 구성된다. 체내 대사 과정에 관여하는 원소인 C-11, N-13, O-15, F-18 동의 양전자 방출방사선 핵종을 의료용 소형 입자 가속기에서 생성하고 포도당, 아미노산, 핵산, 암모니아 및 여러 수용체 결합 물질에 사용한다. 이러한 원소들은 생체 물질의 주요 구성 성분이기 때문에 이들을 이용하여 특정 생리·화학적, 기능적 변화를 반영하는 추적자(tracer)인 방사성 의약품을 만들 수 있다.
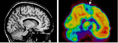
3) 뇌 기능의 이상에 대하여 PET를 이용하면 정신활동상태, 혈액의 관류상태, 포도당 대사와 산소 대사와 같은 에너지원의 대사상태, 생리적 활성 물질의 섭취 정도 등을 3차원적으로 관찰 할 수 있다. 뇌 기능 평가에 뇌혈액량, 뇌 혈류량, 뇌 산소 섭취율, 뇌 산소 소비량, 포도당 (glucose) 대사율을 참고할 수 있다.
4) 체내의 기능 또는 대사기능을 단층 영상으로 검사하는 방법으로 암을 진단하고자 할 경우 암세포의 특정 대사능을 영상화하면 수술이나 조직 검사를 하기 전에 암진단을 할 수 있다. 가장 흔히 이용하는 방사성 의약품인 F-18-FDG는 포도당 유사 물질이어서, 이를 주사하면 몸 안에서 암과 같이 포도당 대사가 항진된 부위에 많이 모이게 된다.
*방사선 동위원소 종류와 반감기
| 방사성 핵종 | 반감기(분) | 방사성 의약품 | 이용 |
| F-18 | 110 | 18F-FDG | 당대사 |
| C-11 | 20.4 | C11-methionine C11-spiroperidol C11-carfentanil C11-palmitic acid |
아미노산 대사 도파민 수용체 아편 수용체 지방산 대사 |
| N-13 | 10 | 13NH3 | 혈류 |
| 0-15 | 2.1 | H2150, C1502 C140 1502 |
혈류 혈액체적 산소대사 |
-이들 핵종의 특징은 소멸시간이 매우 짧아 인체내에서 곧 사라진다.
-진단용으로 이 용하는 방사성 화합물은 극미량만을 이용하여 인체에 미치는 영향은 매우 적다.

*CT와 PET의 차이 : CT 검사는 종양 등 질환의 형태적 영상,PET 검사는 기능적 영상
*PET-CT : PET 검사와 CT가 결합되어 보다 향상된 PET 검사로 형태적 영상과 기능적 영상을 동시에 획득 가능하다.
2.검사 적응증

1) 간질
측두엽 간질에 대한 수술적 치료를 위해 발작 원인 부위를 국소화해 제거할 수 있도록 추가적 기능적인 정보를 얻을 수 있다.
2) 암질환
종양 대상의 영상에는 포도당 유도체와 아미노산을 이용하여 F-FDG가 가장 널리 이용되며, C-메티오닌, C-티미딘, C-티로신 등도 연구되고 있다. 중추신경계 종양, 림프종, 폐암, 유방암, 대장암, 두경부암 및 흑색종 진단에 유의하다. 신경교종인 경우 High grade 병소는 모두 FDG 축적이 증가되고 Low grade 병소는 거의 대사가 감소된 부위로 나타난다. 따라서 FDG 축적이 증가됨에 따라 예후가 급격히 악화 된다고 볼 수 있다. 뇌종양이 재발되었을 경우 그 부위에 대사가 증가되나 방사선 괴사가 발생하였을 때에는 증상은 비슷하나 반대로 그 부위에 대사가 감소되므로 감별진단을 할 수 있다.
3) 허혈성 뇌혈관 질환
혈류량의 측정에는 대사되지 않는 화합물 이 사용되며 짧은 반감기 방사선 핵종인 O화합을 많이 이용한다.
4) Alzheimer disease 및 기타 치매의 감별
5) 운동 장애성 질환
Parkison disease, huntington disease, wilson disease
3.검사방법
1) 검사자의 인적사항, 병력 기록, 금식 유무를 확인한다
2) 검사의 필요에 따라 위장관 조영제, 위장관 운동을 억제하는 항근성 진경제를 복용한다.
3) 검사자의 혈당을 측정한다.
4) PET 촬영을 하기 전에 PET 방사성 의약품을 정맥 주사한다.
5) 약 1시간 정도 눕거나 앉은 자세로 편히 휴식을 취한다. 방사성 의약품이 기능에 따라 생체에 분포하는 시간을 기다리는 것으로 말을 많이 하거나 너무 많이 움직이면 영상 획득에 영향을 줄 수도 있다.
6) 물 500ml 이상을 1시간 동안 가능한 한 충분히 섭취한다. 지속적인 금식이 필요한 경우 정맥주사로 수액을 공급한다.
7) 원통형 PET 카메라 안에서 약 1시간~2시간 정도 촬영한다.
4.간호중재
1) FDG PET(F-18 포도당 유도체): Brain FDG PET 혹은 Whole body FDG PET
-환자와 보호자에게 검사목적과 방법을 설명한다.
-검사에 사용되는 F-18이 포도당 유도체이므로 혈당에 영향을 줄 수 있는 약물을 확인하고 투약을 미루거나 변경한다.
-영향을 줄 수 있는 약물 : 포도당이 섞인 수액, 인슐린, 당뇨약, Dexamethasone 등
2) 자정 금식 (MN NPO) 하도록 한다.
-포도당 대사기능의 평가에 영향을 미치므로 물을 제외한 금식이 필요하다. 이때 물은 많이 섭취 하도록 한다.
3) 방사선 주사 후 40분간 안정을 취한다.
-주사 후 대기시간 동안 물 500ml를 마시도록 한다.
-소변을 자주 보면 방광내 방사선 피폭을 줄일 수 있으며 촬영 영상도 좋아진다.
-검사시간은 brain만 검사할 경우 약 1-2시간정도 소요되며 whole body검사의 경우 4시간 정도 소요된다.
-검사 후 바로 식사가 가능하며, 방사성동위원소 배출을 돕기 위해 수분 섭취를 격려한다.
4) methionine PET(C11-methionine, 아미노산 유도체)
종양세포가 성장하는데 필요한 단백질로 종양세포로부터 분비되는 단백질에 methionined이 축적되는 것을 PET장비로 검출하여 컴퓨터로 영상화한다. 금식이나 다른 준비는 불필요하며 반감기가 짧다.

공복 상태에서 PET 검사를 위해 방사선 동위원소 FDG 를 주사하면 암이 정상 조직보다 먼저 당분을 섭취하는 성질을 이용한 검사로 암의 존재 부위를 적색으로 표시 가능하다. 그러나 뇌는 포도당을 대량으로 소비하고 있기 때문에 방사선 동위원서 FDG-PET 하는 방법으로 뇌종양을 진단하기 어려운 경우가 있다. 정상적인 뇌세포는 아미노산 대사가 거의 없기 때문에 아미노산을 섭취하는 Methionine PET를 시행하고 있다.
<사진 및 정보 참고>
https://terms.naver.com/entry.naver?docId=927652&cid=51007&categoryId=51007
양전자 단층촬영
양전자를 방출하는 방사성 의약품을 이용하여 인체에 대한 생리화학적, 기능적 영상을 3차원으로 얻는 핵의학 영상법. [정의] 양전자 단층촬영(PET)은 양전자를 방출하는 방사성 의약품을 이용하
terms.naver.com
https://m.blog.naver.com/PostView.naver?isHttpsRedirect=true&blogId=makinoj&logNo=221537410117
뇌종양 진단과 치료방법
뇌종양 신경학적 진단 #뇌종양 은 CT 나 MRI로 진단되지만 종양이있는 부위에 따라 다양한 증상을 나...
blog.naver.com
https://www.youtube.com/watch?v=TcZr2tvhAzI