
다낭성 난소 증후군이란?

다낭성 난소 증후군은 가장 흔한 여성 내분비 질환으로 가임기 연령여성의 약 5~10%에서 발병하는 것으로 알려져있다. 증상으로는 무월경, 희발월경 등과 같은 월경이상, 비만, 다모증, 여드름 등이 나타날 수 있는데 최근 2003년 개정된 유럽/미국 생식내분비학회 연합의 진단 기준으로는 아래 3가지 중 2가지 해당되면 다낭성 난소 증후군으로 진단 할 수 있다.
1) 무배란성 월경이상
*무월경, **희발월경 또는 불규칙한 무배란성 자궁출혈
2) 임상적 혹은 생화학적 남성호르몬 과다
혈액검사상 고안드로겐혈증, 과다한 체모가 나타나는 다모증이나 여드름 등
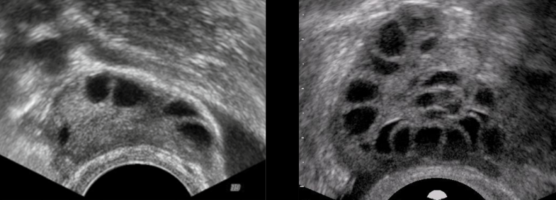
3) 골판초음파에서 다낭성 난소
난소 초음파에서 다수의 미성숙 난포가 보인다.

*희발월경 (oligomenorrhea)
1년에 8회 미만의 월경 또는 35일보다 긴 주기로 나타나는 월경
**무월경 (amenorrhea)
임신이 아니면서 3개월 이상 월경이 없는 것
다낭성 난소증후군의 병태 생리
아직 다낭성 난소 증후군의 발병 원인은 명확히 밝혀지지 않고 있다. 다른 복합성 질환들과 마찬가지로 다낭성 난소 증후군의 발병에도 유전적 인자 및 환경적 인자가 모두 작용하는 것으로 여겨진다. 만성적인 고인슐린혈증이 난소가 생성, 분비하는 안드로겐을 과생산하도록 하여 만성적인 무배란, 불임, 월경장애, 다모증 등의 증상을 유발한다고 알져져있으나 이것만으로 다낭성 난소증후군에서 나타나는 다양한 증상과 검사 소견들을 모두 설명할 수 없다. 아직까지 임상적으로 적용 가능한 유전학적 검사는 없는 상태다. 여러 형태의 유전자 결함이 섭식행태나 체형등에 이상을 유발하고 동시에 여러 내분비 계통 및 인슐린의 생성 및 반응과 연관된 부분에 이상을 초래하여 발생하는 다유전자성 질환으로 이해되고 있다.
증상
| 다낭성 난소 증후군 진단 기준 | 증상 |
| 무배란성 월경이상 | (1) 희발월경 : 1년에 8회 미만의 월경, 35일보다 긴 주기의 월경 (2) 무월경 : 임신이 아니면서 3개월 이상 없는 월경 (3) 무배란성 월경 : 규칙적으로 월경하나 배란이 없는 경우 (4) 기능성 자궁출혈 : 불규칙적은 출혈 양상 (5) 불임 |
| 임상적 혹은 생화학적 남성호르몬 과다 | (1) 다모증 : 젊은 여성의 경우, 가장 흔한 임상증상 (2) 탈모증 : 나이든 여성 (3) 여드름 (4) 고인슐린혈증 |
| 기타 (비만) | 다낭성 난소증후군의 50~70% 정도 차지 |
** 다낭성 난소증후군과 당뇨
고안드로겐혈증 (남성호르몬 과다), 고인슐린혈증이 있는 무배란의 다낭성 난소증후군의 경우에는 향후 당불내성 및 제 2형 당뇨병의 유방률이 증가하는 것으로 알려져있다. 매년 정상내당능 소견을 가진 환자의 약 16% 당불내성으로, 당 불내성을 가진 여성의 약 2%에서 제 2형 당뇨로 진행하는 것으로 보고되고 있다. 따라서 다낭성 난소증후군과 인슐린 저항성 혹은 제 2형 당뇨와의 상관관계를 고려하면 이에 대한 조기 발견이 매우 중요하다. 이후 임신 시에는 임신성 당뇨의 위험이 높으므로 향후 대사증후군이 발생할 가능성이 더욱 높아지므로 당기적은 당뇨 검사가 필수적이다.
진단
기본적으로 병원에 내원하게 되면 신체검사, 혈액검사, 초음파 검사가 이루어진다.
| 다낭성 난소 증후군 진단 종류 | 방법 |
| 신체 검사 | (1) 체중 및 키, 비만도 (BMI) (2) 혈압 (3) 다모증 확인 |
| 만성 무배란의 진단 | (1) 병력 청취 : 마지막 생리일, 생리주기 (2) 혈액검사 : 황체호르몬의 농도 측정 |
| 다낭성 난소 (미성숙 난포) | 초음파 검사상 다낭성 난소로 2~9mm 직경의 난포가 12개 이상 난소의 부피가 10cm3 이상 증가되어 있는 것이 특징 (난소 형태 평가하기 위해서 생리 직후에 하는 것이 가장 적절하다) |
| 고안드로겐혈증 (남성호르몬 과다)의 진단 | (1) 임상적 증상 : 다모증, 탈모, 여드름 등 (2) 혈액검사 : 혈중 안드로겐 수치 확인 |
*실제 임상에서 시행하는 다낭성 난소 증후군을 진단하기 위한 혈액검사

-progesterone : 난소에서 월경주기 후반에 황체로부터 분비되는 여성 호르몬
-17α-OH Progesterone : 난소, 고환, 부신 피질에서 progesterone이 17α-Hydroxylation되어 생 합성되는 호르몬
-DHEA-S : 부신에서 분비되는 스테로이드 호르몬, 체내 지질대사와 면역기능, 생식에 관여하는 호르몬
치료 목표
| 다낭성 난소 증후군 진단 종류 | 방법 |
| 내분비 대사 및 대사장애의 교정 | (1) 대사증후군, 심혈관계 질환, 당뇨 등과 같은 후유증의 발병 위험을 예방한다. (2) 비만인 경우 정상 체중으로 감량하고 생활 패턴을 개선한다. |
| 자궁 내막 보호 | (1) 에스트로겐의 의한 지속적인 자극으로부터 자궁내막을 보호해야한다. (2) 기능부전성 자궁출혈의 조절과 같은 증상들을 치료한다. |
| 미용적 효과 | 여드름, 다모증의 개선 및 정상 체중으로 회복을 통한 미용 효과를 얻는다. |
| 임신 | 불임증이 있는 다낭성 난소증후군의 경우 배란유도를 하여 임신이 되도록한다. |
다낭성 난소증후군의 실제 치료
| 다낭성 난소 증후군 치료 | 방법 |
| 생활 습관 변화 및 체중감량 | 과체중 또는 비만 상태의 다낭성 난소 증후군 여성에서는 체중 감량이 일차적 치료법이 되어야 한다. 임신을 원하는 지의 여부에 관계없이 가장 중요한 치료는 체중 감량이다. 체중 감소만으로도 다모증, 여드름 등의 혈중 인슐린 및 안드로겐 농도를 감소시킬 수 있으며 이러한 변화로 정상적인 월경 및 배란의 회복을 기대할 수 있다. 체중 감량을 하기 위해 식이요법과 운동을 할 수 있으며 추가적으로 체중감량제를 전문의와 상담 후에 처방받을 수 있다. |
| 인슐린 감수성 개선제 | 최근에는 다낭성 난소증후군의 원인을 개선시키기 위한 치료제로서 당뇨치료에 사용하고 있는 인슐린 감수성 개선제를 실제로 많이 처방하고 있다. 가장 흔히 처방에 쓰이는 약물은 메트포민, 메트포르민 (metformin) 으로 다낭성 난소 증후군 여성에서 사용되었을 때 인슐린 저항성을 감소시킴으로써 혈중 인슐린과 안드로겐 농도를 감소시키고 무배란을 치료하기 위해 사용되고 있다. 혈당을 떨어뜨려 고혈당을 치료할 수 있지만, 정상 혈당 상태에서는 혈당 저하를 유도하지 않는다. 다낭성 난소 증후군 환자에게 사용되었을 때 고인슐린혈증을 감소시키고 혈중 지질상태에도 유익한 변화를 주며 혈중 안드로겐 농도도 감소시키며 배란을 유도하는 것으로 보고되고 있다. |
| 불규칙한 생리주기의 교정 |
장기적으로 배란이 안되어 에스트로겐만 단독으로 분비되는 것은 희발월경이나 무월경, 비정상 자궁출혈을 야기시킬 뿐만 아니라 자궁내막증식증이나 자궁내막암 등의 발생 위험을 증가시킨다. 따라서 이러한 경우는 주기적으로 프로게스테론이나 저용량 경구 피임제를 사용하여 이러한 위험을 예방한다. 흔히 야즈 (YAZ), 야스민 (YASMIN) 을 처방 하고 있다. |
| 남성호르몬 과다증세 개선 | 다모증, 여드름과 같이 남성호르몬 과다증상을 개선하기 위해 미용적 목적으로 경구용 피임제가 처방될 수 있다. |
| 임신을 원하는 경우에는 약물치료, 수술적 치료 |
약물치료로 배란 유도를 하게 되는데 우선 보다 덜 침습적이고 저렴한 방법부터 시작하는 것이 원칙이다. 임신을 준비하는데 우선 배란유도제 복용, 인공수정, 시험관 시술 순으로 준비하게 된다. 다낭성 난소증후군 환자들은 다른 불임환자와는 달리 배란유도제에 대한 반응이 너무 과하게 반응을 보여 난소 과자극 증후군 (난소팽창, 복수 등) 보일 위험이 증가하는 것을 주의해야 하며 임신이 되더라도 유산율이 증가하는 것으로 알려져있어 배란 유도를 하기 전에 경구피임제로 교정할 수 있다. 배란 유도제를 복용하는 동안 인슐린 감수성 개선제 (메트포민) 등의 치료와 같이 하는 경우가 있다. |