
뇌졸중은 뇌혈관이 막히거나 터져서 뇌세포가 손상되면 발생하는 신경학적 증상을 말한다. 뇌졸중은 크게 혈관이 막히는 허혈성과 혈관이 터지는 출혈성 으로 크게 나눌 수 있다. 뇌혈관이 막히거나 터지면 뇌에 산소와 영양소의 공급이 부족하여 일정 시간 이상 지속되면 뇌조직이 괴사되기 시작한다. 뇌조직이 괴사되어 회복 불가능한 상태에 이르렀을 뇌경색이라고 한다.

1.CT (전산화 단층촬영) - Brain CT (noncontrast)
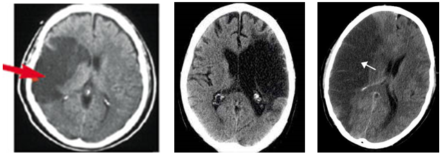
CT (전산화 단층촬영)은 는 MRI (자기공명영상)에 비해 값이 저렴하고 촬영시간이 적게 걸리는 장점으로 급성 뇌경색의 진단시 가장 많이 처음 시행하는 신경방사선학적 검사이다. 급성 뇌경색의 CT 소견은 잘 알려져 있으나 전형적인 소견이 없는 초기 24시간 이내의 에 영상화되지 않는다는 점, 작은 병변 특히 cortex, brain stem의 병변이 보이지 않는다.
1) 뇌경색
뇌경색의 부위가 검게 나타난다. (저음영)
뇌경색은 발생한 후 24시간 이내에는 경색부위가 보이지 않는 경우가 많아 정상처럼 나타날 수 있다.

2) 뇌출혈
출혈 부분의 희게 나타난다. (고음영)
뇌출혈은 출혈 직후부터 CT에 고밀도로 나타난다.

반대로 뇌경색의 경우 1~2일 지나 CT 병변에서 나타난다. 급성기 뇌졸중에서 CT가 정상이면 뇌경색으로 진단 할 수 있다. 조기에 저음영화 되어버리므로 가능한 발병 후 빨리 찍는 것이 중요하다.
2. MRI (자기 공명 영상)
일반적으로 허혈병변은 T2 강조영상에서 고신호 강도로, T1강조영상에서 저신호 강도로 나타난다. 참고로 MRI 영상에서 T1강조영상은 해부학적 정보를 얻는 데에 유용하며, T2강조영상은 병변을 발견하는 데에 유용하다.

MRI는 CT보다 영상력이 뛰어나므로 CT에서 찾을 수 없는 작은 뇌졸중이나 brain stem의 뇌졸중도 용이하게 찾아낼 수 있고 CT보다 더 일찍 뇌경색 병변을 찾아낼 수 있다. 그러나 검사시간이 비교적 길어 중환자나 의식이 저하된 환자는 촬영하기 어렵고 가격이 비싸며 pacemaker, 금속성 인공판막 등 자장에 영향을 받을 수 있는 장비를 착용한 환자에게는 사용할 수 없다는 단점이 있다. 그러나 ICH, SAH에 있어 주변과 비슷한 정도의 신호를 보여 출혈과 뇌조직이 구별되지 않아 진단적 가치가 낮다.

<참고>
https://m.blog.naver.com/jesus24968/221616615212
stroke (뇌졸중)
stroke (뇌졸중) KMLE 뇌졸중의 정의 1) 뇌졸중(stroke) = 뇌혈관질환(cerebrovascular disease) = 뇌...
blog.naver.com